深圳肤康皮肤病专科门诊部的名医指出,带状疱疹的发生往往是由于我们在生活细节上的忽视导致自我免疫力低下给疱疹提供了一个攻击我们的可乘之机。我们都知道对于疾病预防永远要比治疗来的重要,因为只有它不发生我们才不会苦恼它的危害。

询问在线名医,带状疱疹怎么有效祛除?
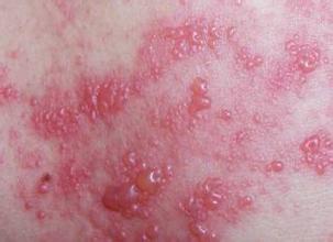
带状疱疹的预防措施有哪些
1、要想预防带状疱疹的发生对于自身体制就要有一个很高的要求。我们要注意增强体质,提高自身的抗病能力。老年人应坚持适当的户外活动或参加体育运动,以增强体质,提高机体抵御疾病的能力。
2、带状疱疹的发生的一个很重要的原因就是感染,所以在平时的生活中我们要注意预防感染的发生。老年患者应预防各种疾病的干扰,尤其是在春秋季节,寒暖交替,要适时增减衣服,避免受寒一起上呼吸道感染。此外,口腔、鼻腔的炎症应积极给予治疗。
3、我们在平时的外出中要时刻注意不要让自己过于疲劳,应当做到劳逸结合还要注意增添衣物进行保暖。




