很多人患上带状疱疹后,不够重视,认为这种疾病危害性并不大,造成了治疗被延误的情况。这种疾病的危害性是很大的,非常受到医学界的重视。下面就请深圳肤康皮肤病专科门诊部名医为大家介绍一下患上带状疱疹有哪些危险。

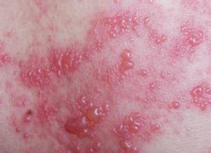
发送症状图片,确诊带状疱疹
1、导致失明:疱疹发生于三叉神经眼支者,可以发生结膜及角膜疱疹,导致角膜溃疡而引起失明,严重者可能引起死亡。
2、引发肺炎或脑炎:带状疱疹如全身泛发,常伴有高热,病情严重,如不及时抢救,可致死亡。
3、导致运动性神经麻痹:疱疹病毒可散布到脊髓前角细胞及内脏神经纤维,引起运动性神经麻痹;当病毒侵犯面神经和听神经时,出现耳壳及外耳道疱疹,可伴有耳及有乳突深部疼痛、耳鸣、耳聋、面神经麻痹以及舌前1/3年味觉消失。
4、遗留顽固的神经痛:约有半数以上的中老年病人,疱疹消褪以后,源病灶处还会出现长时间的持续疼痛。
5、引发胃肠道及沁尿道疾病:如疱疹出现在胸、腰及腹部,可诱起发生阶段性胃肠炎及单侧性膀胱粘膜溃疡等。
6、遗留疤痕:病情严重者,皮肤还出现大疱、血疱及坏疽,痊愈后遗留大量疤痕,如散在于面部则严重影响容貌。
通过上面所介绍的内容,大家对于患上带状疱疹有哪些危险应该有所了解了吧。希望朋友们可以在了解之后,尽量的做好对该疾病的预防及治疗。治疗带状疱疹,请选择正规的诊疗机构。
上一篇:上一篇:带状疱疹缠身身心兼治为要
下一篇:下一篇:全面解析带状疱疹的发病原因




